Le carie dentali rappresentano uno dei nemici più comuni della salute orale, colpendo persone di tutte le età. Si tratta di un processo degenerativo che danneggia lo smalto dentale a causa dell’azione dei batteri della placca. Se trascurate, le carie possono provocare dolore intenso, sensibilità dentale e persino la perdita del dente stesso. In questo articolo vogliamo fornirvi tutte le informazioni necessarie sulla carie, illustrando i sintomi, le cure disponibili e rispondendo una volta per tutte a questa domanda “Quanto costa curare una carie?“
Come si formano le carie?

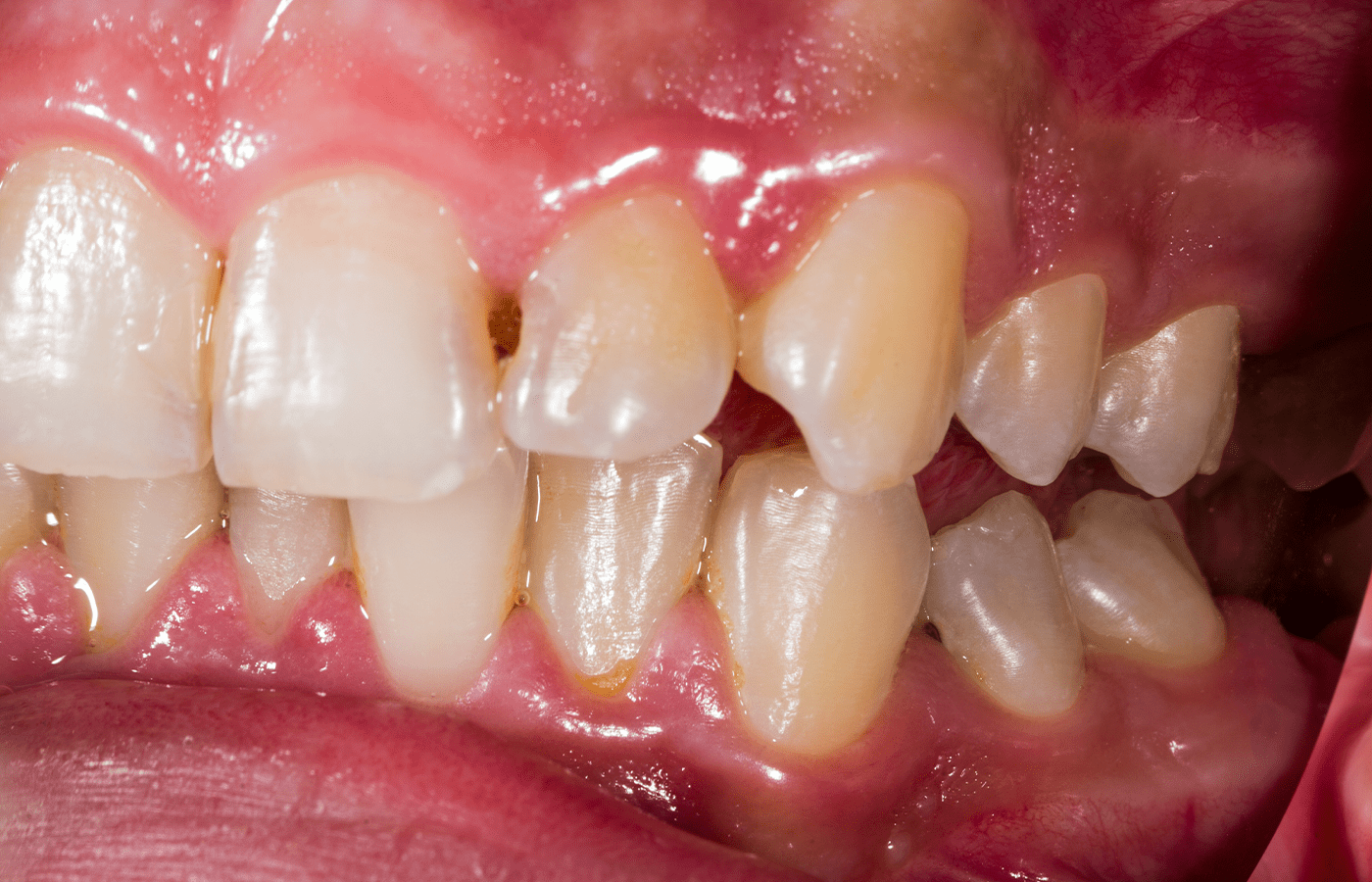
Il processo carioso ha origine dall’accumulo di placca batterica sui denti. La placca è una pellicola appiccicosa composta da batteri, saliva e residui di cibo. Questi batteri si nutrono di zuccheri e amidi presenti nel cibo, producendo come scarto acido lattico. L’acido lattico erode lentamente lo smalto dentale, creando inizialmente piccole lesioni superficiali che, se non curate, possono evolvere in cavità profonde e dolorose.
Sintomi delle carie
I sintomi delle carie dentali possono variare a seconda della gravità della lesione. Nelle fasi iniziali, potresti non avvertire alcun disturbo. Tuttavia, con il progredire della carie, potresti riscontrare:
- Dolore dentale: fastidio intenso, spesso improvviso e acuto, durante la masticazione o al contatto con cibi e bevande freddi, caldi o zuccherati.
- Sensibilità dentale: reazione dolorosa al contatto con aria fredda o cibi/bevande zuccherate.
- Macchie scure o marroni: alterazioni del colore dello smalto dentale in corrispondenza della carie.
- Alitosi: cattivo odore orale causato dalla presenza di batteri e materiale in decomposizione nella cavità dentale.
- Fori visibili: nelle fasi avanzate, la carie può provocare la formazione di veri e propri buchi nel dente.
Trattamento delle carie

Il trattamento delle carie dentali dipende dalla gravità della lesione. Nelle fasi iniziali, l’intervento più comune è l’otturazione. Il dentista rimuoverà la parte di smalto danneggiata dalla carie e la sostituirà con un materiale biocompatibile, chiamato appunto otturazione. Esistono diverse tipologie di otturazioni, come quelle in resina o in ceramica, con costi variabili.
Nei casi più avanzati, in cui la carie ha raggiunto la dentina o la polpa dentale (la parte interna del dente contenente nervi e vasi sanguigni), potrebbe essere necessaria una terapia più complessa, come l’endodonzia, ovvero la devitalizzazione del dente. Questo intervento mira a rimuovere la polpa infetta e sigillare il canale dentale per evitare la diffusione dell’infezione.
Quanto costa curare una carie in Albania?

Il costo del trattamento delle carie in Albania è generalmente più conveniente rispetto a molti paesi europei. Il prezzo finale può variare in base alla complessità della carie, al tipo di otturazione utilizzato e alla clinica dentale scelta.
Presso Class Dent, ci impegniamo ad offrirti trattamenti dentali di alta qualità a prezzi competitivi. A titolo informativo, il costo di una semplice otturazione presso la nostra clinica varia all’incirca tra i 30€ e i 50€. Per ottenere un preventivo personalizzato in base al tuo caso specifico, ti consigliamo di prenotare una consulta gratuita presso la nostra struttura.
Prevenire le carie è fondamentale!
Una corretta igiene orale è la principale strategia per prevenire la formazione delle carie. Ecco alcuni consigli da seguire scrupolosamente:
- Spazzola i denti due volte al giorno con un dentifricio al fluoro, dedicando almeno due minuti ad ogni spazzolata.
- Utilizza il filo interdentale quotidianamente per rimuovere i residui di cibo dagli spazi interdentali, dove lo spazzolino non riesce a raggiungere.
- Limita il consumo di zuccheri e amidi presenti in bevande zuccherate, caramelle, dolci e cibi raffinati. Queste sostanze favoriscono la proliferazione dei batteri e la formazione della placca.
- Recati regolarmente dal dentista per controlli periodici e pulizie dentali professionali. Durante la visita, il dentista potrà individuare eventuali carie allo stadio iniziale e intervenire tempestivamente con trattamenti minimi e meno costosi.
Class Dent la tua clinica dentale di fiducia in Albania

Class Dent si posiziona come la clinica dentale ideale per curare le carie in Albania e ritrovare un sorriso sano e radioso. Mettiamo a tua disposizione:
- Team di dentisti altamente qualificati: il nostro team vanta una vasta esperienza nell’ambito della cura dentale e nell’utilizzo delle tecnologie più innovative per trattare le carie in modo efficace e delicato.
- Tecnologia all’avanguardia: presso Class Dent utilizziamo strumenti e macchinari di ultima generazione per garantire diagnosi precise e trattamenti confortevoli.
- Materiali di prima qualità: impieghiamo materiali biocompatibili e duraturi per le otturazioni, assicurando la funzionalità e l’estetica del tuo sorriso a lungo termine.
- Approccio personalizzato: ogni paziente riceve un’attenzione e un percorso terapeutico personalizzato in base alle proprie esigenze cliniche.
- Prezzi competitivi: come già accennato, Class Dent si distingue per i costi vantaggiosi dei trattamenti dentali, incluso il trattamento delle carie.
- Consulta gratuita: prenota un appuntamento gratuito per una prima visita conoscitiva con i nostri dentisti. Durante la consulta, potrai esporre le tue problematiche e ricevere un’analisi accurata del tuo stato di salute orale, con tanto di preventivo personalizzato.
Non trascurare le carie! Prenota subito la tua consulta gratuita presso Class Dent e riprendi a sorridere senza pensieri!
EXCELLENTBased on 119 reviews
Posted on![]()
Angelique Van Luchene2025-09-30Wij bezochten Dental clinic (Class Dent) per toeval. We werden opgehaald aan de luchthaven. We werden hartelijk omhaalt door Kevin. Super gast! We werden door Kevin meteen geïntroduceerd in de wereld van Albanië en wat er om leeft. Dit stelde ons meteen gerust.We werden eerst geconfronteerd met ons verblijf. Het appartement waar we verbleven was heel proper. Kort erna werden we verwacht in de kliniek, heel proper, de laatste nieuwe apparatuur en hier hartelijk onthaald geweest. We hebben hier ook de eerste richtlijn gehad wat er ons te wachten stond. De dag erna werden alle tanden getrokken die moesten verwijderd worden. Een hele goeie opvolging van Kevin die mij constant op de hoogte houd van wat er was gebeurd met mijn man. Elke dag stonden er een of meerdere consultaties op de agenda voor de opvolging. De hygiëne is er op en top ! Drie dagen na de operatie werden de voorlopig tanden geplaatst, zoals beloofd. Wij zijn de dag erna teruggevlogen naar België en we wachten nog 3-4 maanden af om terug te komen zodat de uiteindelijke implantaten kunnen geplaatst worden. Wij zijn alvast heel enthousiast over het gebeuren en de werking van de kliniek .Wij zien elkaar terug en februari of maart 2026 voor de definitieve tanden. Kevin, en de rest van de tandartsen…jullie zijn toppers ! Jullie toveren een lach op iemands gezicht die al heel lang niet meer kon lachen. Vele groeten Diederik en AngeliquePosted on![]()
Nicola Buono2025-09-20Sono degli angeli professionali, gentili e abbastanza onestiPosted on![]()
Malgorzata Skala2025-08-29During my holiday, I ended up at this clinic completely by chance – I broke a tooth and needed urgent help. I was pleasantly surprised by how quickly and professionally I was treated. From the very beginning, the staff were extremely kind, friendly, and caring, and the doctor explained every step of the treatment in detail. Despite the stressful situation, I felt very well taken care of. The procedure was carried out efficiently and painlessly, and the result exceeded my expectations. The atmosphere in the clinic is welcoming and modern, and it is clear that the people working there are passionate and highly experienced. I am grateful that I came across this place – they saved my holiday and restored the comfort of my smile. I can wholeheartedly recommend it to anyone looking for professionalism combined with a truly human approach.Posted on![]()
Ardjana Himalli2025-08-25Mi sono trovata davvero molto bene presso questo studio dentistico. Ho apprezzato fin da subito la grande professionalità di tutto lo staff, unita a una gentilezza che mette subito a proprio agio. L’ambiente è accogliente, curato e soprattutto estremamente pulito, cosa che trasmette un senso di sicurezza e attenzione ai dettagli. Durante le visite mi sono sempre sentita ascoltata e seguita con competenza. Consiglio vivamente a chi cerca un dentista serio, preparato e umano.Posted on![]()
kyle orten2025-08-09Excellent care and customer service.Posted on![]()
Ferdows Rasooli2025-07-25I did implant in hier with my wife and the surgery was gone very good, Was the best experience at this clinic, respectful stuff and respectful Doctor, thank youPosted on![]()
Oliver Memo2025-07-17La migliore esperienza dentale che io abbia mai avuto. Sono stati molto gentili, specialmente il dottor Marius, il mio dentista preferito.Posted on![]()
David Jonsson2025-07-09Exceptional Dental Experience in Durrës, Albania From the very beginning, the service at ClassDent Clinic (Lagja 1, Rruga Taluantia, 2001, Durrës, Albania) was world-class. The clinic’s team handled everything with professionalism, care, and great efficiency, making the entire experience smooth and stress-free. What truly stood out were four key things: 1. Outstanding service from the first contact to the final appointment. 2. Excellent communication—clear, responsive, and reassuring throughout. 3. A highly skilled and kind dental team, who made me feel comfortable and well taken care of. 4. Very reasonable prices, especially considering the top-tier quality of care provided. If you’re considering dental work abroad, I can wholeheartedly recommend ClassDent Clinic in Durrës. Their commitment to patient care, modern equipment, and professional approach truly set them apart. A first-class experience from start to finish.Posted on![]()
j——- D-man2025-07-02In februari en juni geweest en niets anders dan lof voor hun kunde en professionele aanpak. Je gaat pas naar huis als alles perfect is. Nog maals dank voor mijn perfecte glimlach en 5 sterren is veel te weinig. Dus voor jullie ⭐️⭐️⭐️⭐️⭐️⭐️⭐️⭐️⭐️⭐️







