La voglia di avere un sorriso più bianco e luminoso è sempre più comune, ma è importante farlo …
September 19, 2024
4 min read
La voglia di avere un sorriso più bianco e luminoso è sempre più comune, ma è importante farlo …
Il mal di denti è uno dei dolori più comuni e debilitanti che può colpire chiunque. Può variare …
L'implantologia dentale ha rivoluzionato il modo in cui trattiamo la perdita dei denti, e tra le tecniche più …
Il diastema, comunemente conosciuto come spazio tra i denti, è una condizione che può influenzare l'estetica del sorriso …
Il mal di denti, comunemente definito odontalgia, è un disturbo doloroso che può derivare da diverse patologie del …
Il sorriso di Tom Cruise è diventato iconico quanto il suo personaggio d’eroe d'azione. Tuttavia, ciò che molti …
La dentizione umana è un complesso processo biologico che si sviluppa in diverse fasi della vita. In questo …
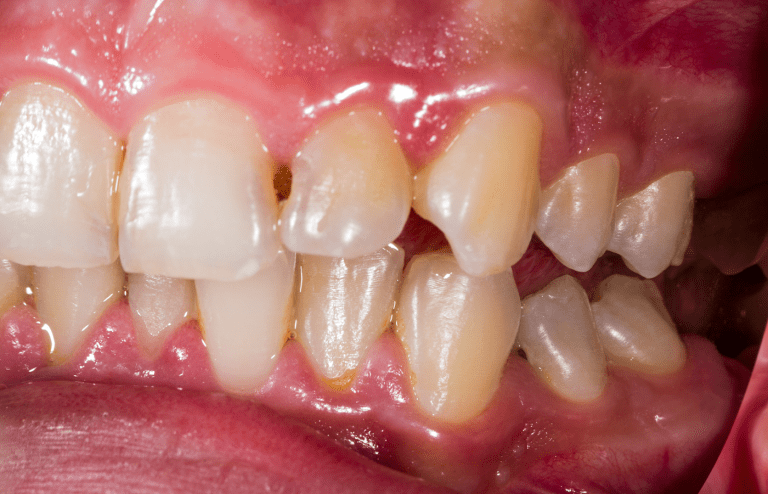
I denti marci, noti anche come carie dentale allo stadio avanzato, sono un problema dentale piuttosto comune e …
Sognare denti perfetti non è più un lusso riservato a pochi. Grazie ai progressi dell'odontoiatria moderna, è possibile …
Le carie dentali rappresentano uno dei nemici più comuni della salute orale, colpendo persone di tutte le età. …